Skip to main content

Necrosis

Etiologías principales

Células que mueren accidentalmente en respuesta a daños agudos, traumatismos, falta de suministro de sangre y sustancias químicas / medicamentos.

Estas células no están sometidas a ningún mecanismo regulador y selectivo, por lo que mueren por un proceso de necrosis celular.

Daño agudo

.

Trauma
Falta de suministro de sangre
Productos químicos o drogas
necrosis hidroxibenceno

                                           Necrosis 

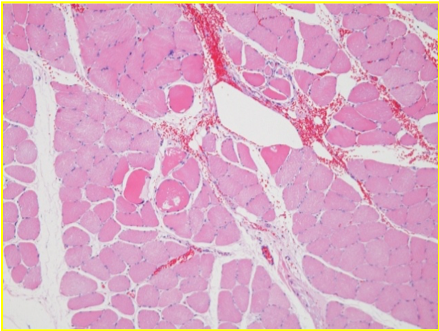
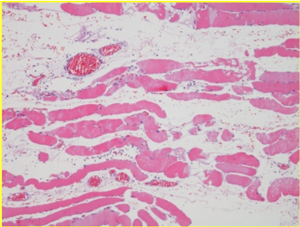
25 min post endopeel

          desorganización observada 25 min después del endopeel

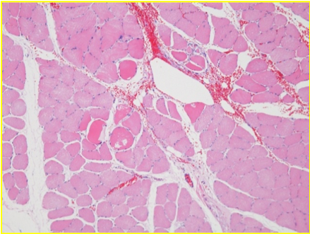
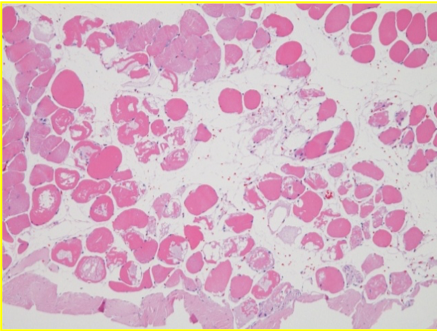
reorganization 60 min after endopeel

reorganización 60 min después de endopeel

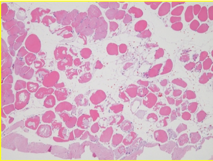
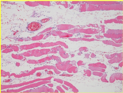
EXPERIMENTO

después de 0,05 ml de inyección de endopeel

Departamento de Investigación de Órganos y Sistemas, Universidad de Akita, Facultad de Medicina y Clínicas YMC-Biyou Yokohama Minato y Shinjuku

ANALISIS:Instituto de Investigación Patológica de Sapporo Ltd.

Consecuencias

Las células en estado de necrosis se hinchan y explotan, vertiendo su contenido en la región circundante, contaminando el entorno en el que residen las otras células, provocando y desencadenando una respuesta inflamatoria, extendiéndose como un tablero de ajedrez, avanzando como factor degradante.

La necrosis es un proceso en el que hay una pérdida de energía (por lo tanto, pérdida de factores de señalización), lo que conduce a defectos en el metabolismo como consecuencia de la pérdida de los gradientes iónicos (estos gradientes se presentan en los 2 lados de la membrana de las células plasmáticas).